Welcome to Dream !

Every smile begins with a Dream

Dream Dental brings together specialist doctors, digital planning, and microscope-level precision to deliver beautiful, long-lasting results—comfortably. From your first coffee in the lounge to your personalized treatment plan, every detail is designed around you.

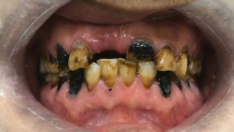
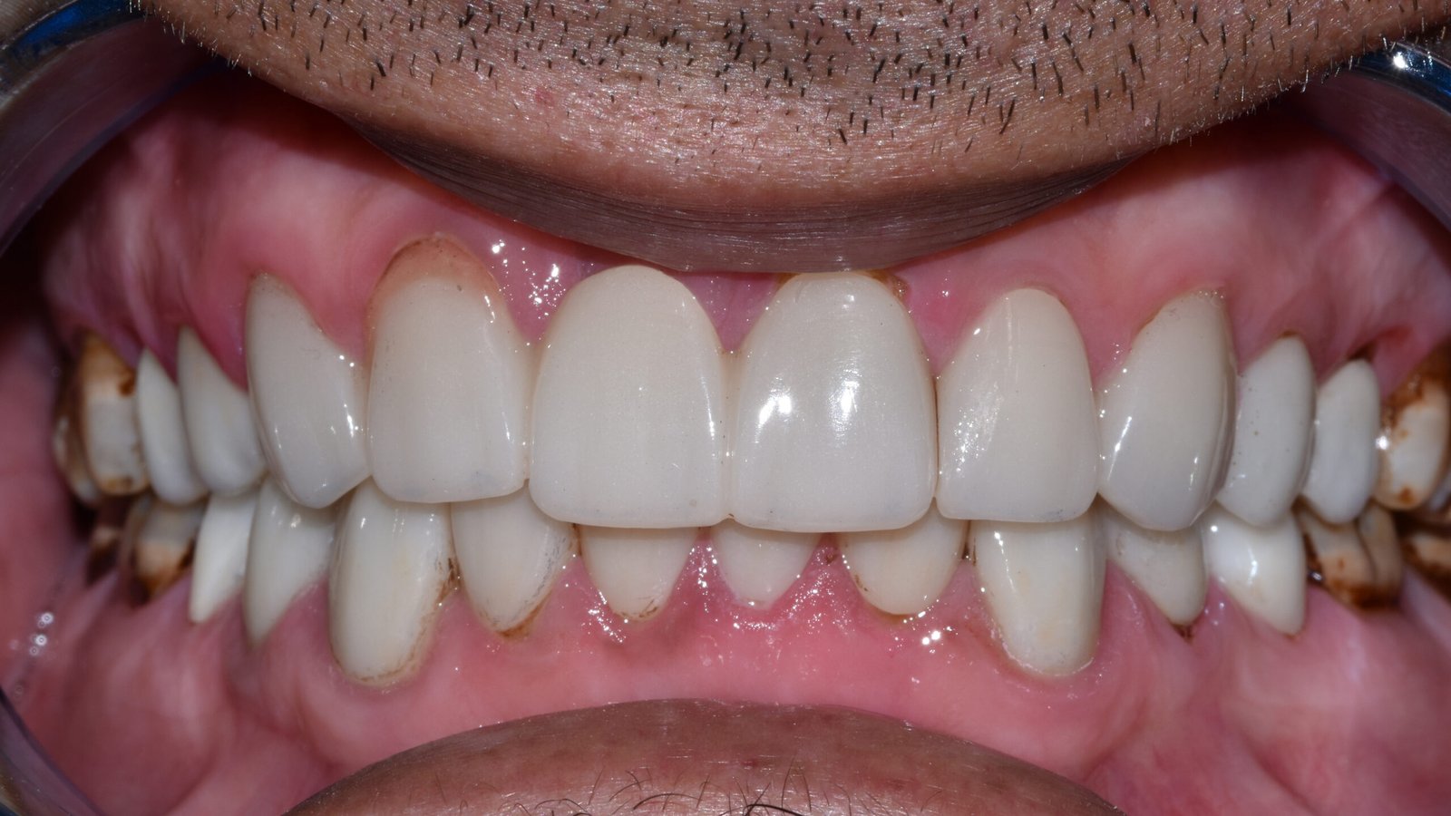
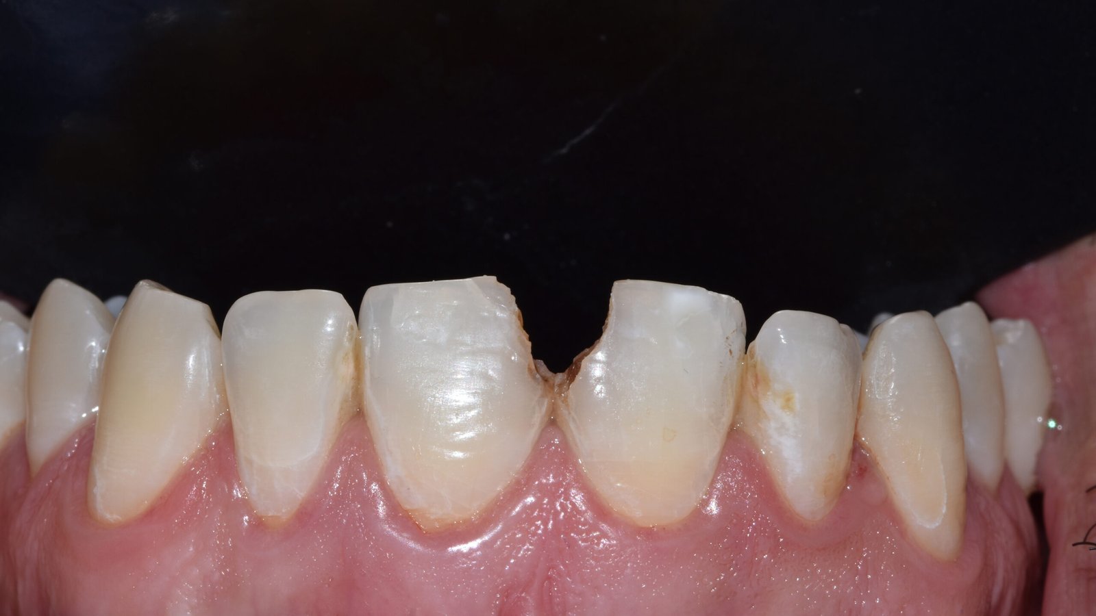
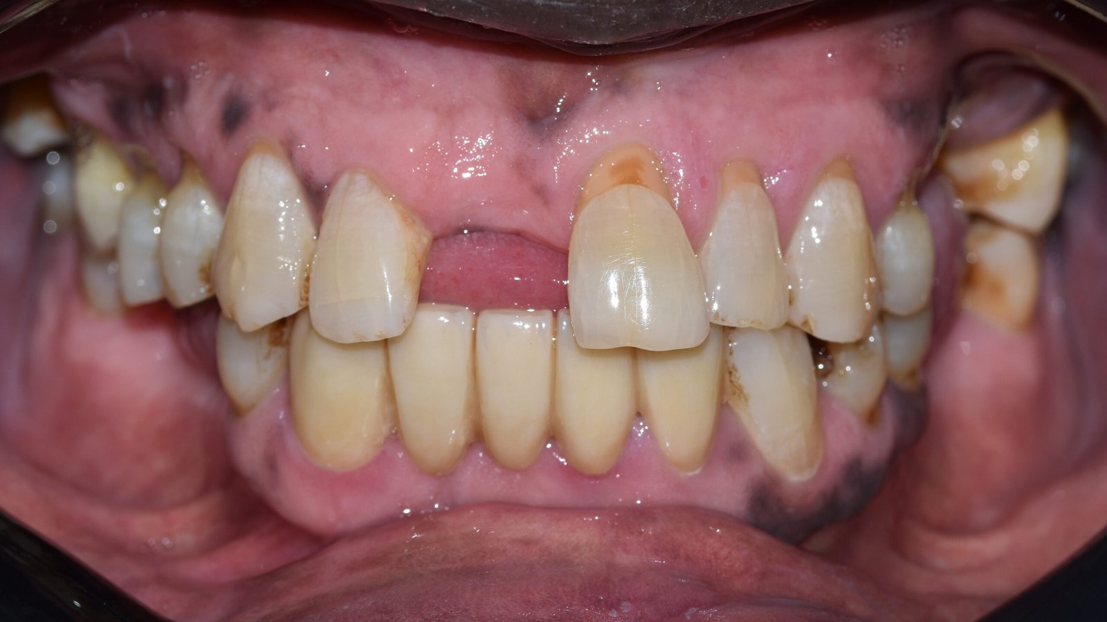
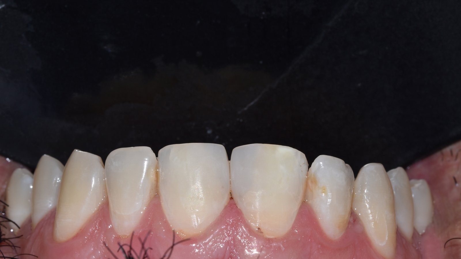
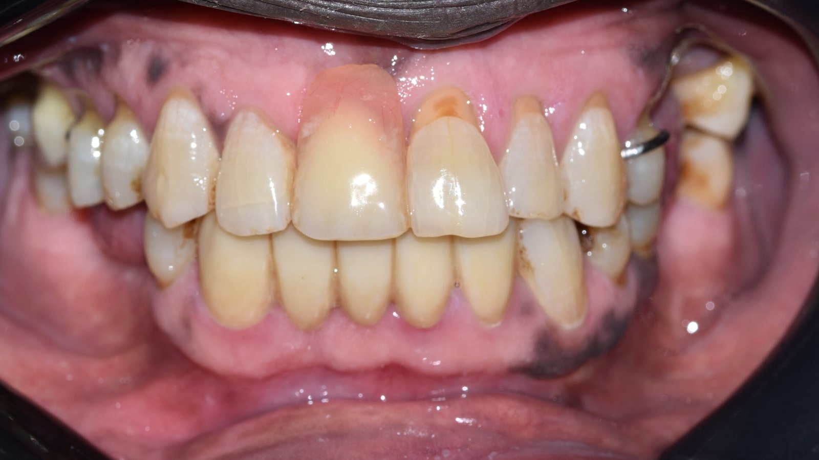
Before & After

Best Services

We deliver the highest standards of quality and precision across cosmetic, restorative, and preventive care—using digital planning and microscope-level detail.

Specialized medical staff

Our team includes consultants and sub-specialists in orthodontics, implants, endodontics, and cosmetic dentistry—so your case is treated by the right expert every time.

Latest Technology

Intra-oral scanning for mess-free impressions , Microscope dentistry for micro-level precision , Digital smile simulation before treatment , Medical-grade sterilization and single-use barriers

Cozy vibes. Serious dentistry.

Settle in with a warm cup—then let our team design the smile you’ve been imagining
Lounge comfort · Digital planning · Honest pricing